В Башкирии впервые применили искусственный интеллект для расшифровки рентгеновских снимков
- 1 ноября 2024
- Амина Сафина

Будущее медицины уже здесь с помощью искусственного интеллекта
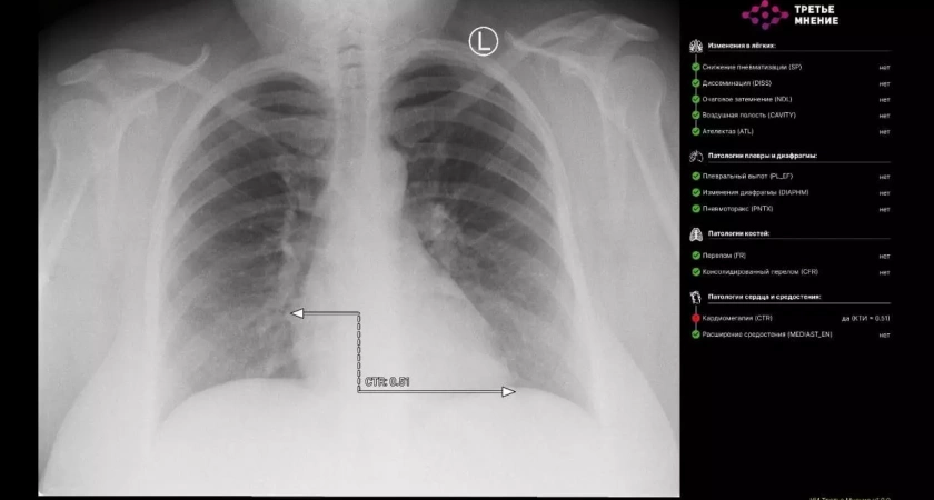
Министр здравоохранения Республики Башкортостан Айрат Рахматуллин сообщил о знаменательном событии: впервые в регионе искусственный интеллект успешно расшифровал рентгеновский снимок. Это произошло в городской больнице №21, где специалисты направили снимок органов грудной клетки на платформу «МосМедИИ».
Результат превзошел ожидания: всего за минуту цифровой помощник предоставил подробное заключение, включающее не только интерпретацию изображения, но и точную разметку патологических очагов с полным протоколом исследования.
Эксперты отмечают, что внедрение искусственного интеллекта сулит значительное ускорение процесса обработки различных медицинских изображений, включая КТ, МРТ, флюорографию и ангиографию.
Важно подчеркнуть, что окончательное решение по диагностике остается за врачом. Искусственный интеллект выступает в роли вспомогательного инструмента, повышающего эффективность работы медицинских специалистов.
По словам Айрата Рахматуллина, до конца 2024 года планируется расширить использование платформы «МосМедИИ» в регионе, увеличив как число подключенных медицинских организаций, так и спектр применяемых ИИ-сервисов.
Следует отметить, что, как ранее сообщал Mkset, в регионе наблюдается рост числа обращений к врачам по поводу инородных предметов в пищеводе у детей.
Источник: "mkset.ru"